The Providence Nocturnal Scoliosis® System
The Providence® Orthosis is the first hyper corrective brace that is worn at nighttime to treat Adolescent Idiopathic Scoliosis (AIS). This revolutionary orthosis has gained in popularity because of its effectiveness in treating scoliosis and its enhanced ease of compliance among adolescent patients. It has been successful in treating all curve types: lumbar, thoracic, double major, and thoracolumbar.
The Providence Nocturnal Scoliosis® System combines the precise grid coordinates of the patented measuring board and utilization of a CAD/CAM system to effectively establish consistent spinal modification strategies. The Providence Nocturnal Scoliosis® System is designed to aggressively correct scoliotic curves while the patient sleeps. The Providence® is also effective for obese, juvenile and neuromuscular patients.
Spinal Technology is the exclusive manufacturer of the Providence Nocturnal Scoliosis® System.
Why Nighttime Bracing vs Full-Time?

Human Growth Hormone
The Providence Nocturnal Scoliosis® Orthosis is a nighttime orthosis designed to be worn when optimal correction occurs during critical growth hours. There is elevated output of Human Growth Hormone (HGH) at night.
Compliance
Compliance is critical to success in scoliosis bracing.
Wearing the Providence® orthosis eliminates the social stigma of having to wear a full-time, full coverage brace to school. In addition to the physical discomfort of wearing a full-time brace, many adolescents describe it as an isolating and uncomfortable experience which may negatively impact compliance rates.
The patient wears the Providence® orthosis while sleeping, and for best results, should wear the Providence® brace while doing homework or watching TV in the supine position. For most patients this means 10 to 12 hours of wearing time; for juveniles it can be up to 16 hours as opposed to the 23 hours per day required for full-time bracing.

Compliance
The patient wears the Providence® nighttime brace while sleeping. The Providence® orthosis eliminates the social stigma of having to wear a full-time, full coverage brace to school and lets kids be kids.
Efficacy of the Providence® Orthosis
Initial In-Brace Correction
The initial in-brace x-ray for the Providence® orthosis is 98% correction. Collectively the in brace x-ray of full-time bracing is 56%. There is a 42% differential in initial in brace x-ray results of the Providence® versus full-time braces.
Research shows there is a strong correlation between best or initial in brace correction and follow up correction.
| Product | Researchers | Correction |
|---|---|---|
| Milwaukee | Carr et al. | 55-60% |
| Boston | Emans et al. | 50% |
| Wilmington | Basset et al. | 50% |
| Miami | McCollough et al. | 50% |
| Charleston | Price et al. | 73% |
| Providence Brace | d'Amato et al. | 98% |
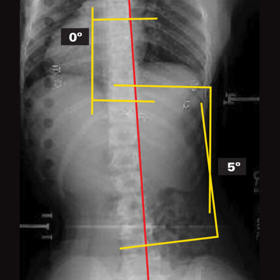
Correction Outcomes
26° Right Thoracic, 26° Left Thoracolumbar Curve
25° Right Thoracic, 21° Left Lumbar Curve
45° Right Thoracic Curve
34° Right Thoracic, 30° Left Lumbar Curve
Published Medical Studies
For more information on the success of the Providence® orthosis, see the published studies:
– Providence nighttime bracing is effective in treatment for adolescent idiopathic scoliosis even in curves larger than 35°
Ane Simony, Inge Beuschau, Lena Quisth, Stig Mindadahl Jespersen, Leah Yaccat Carreon, Mikkel Osterheden Andersen
European Spine Journal, September 2019, Volume 28, Issue 9
– Nighttime Bracing With the Providence Brace in Adolescent Girls With Idiopathic Scoliosis
Charles Roland d’Amato, MD, FRCS(C), Sean Griggs, MD, and Barry McCoy, MEd, CPO
Spine Journal, September 15, 2001, Volume 26, Issue 18
Elements of the Providence Nocturnal Scoliosis® System

To properly acquire the precise measurements needed for the fabrication of the custom Providence Nocturnal Scoliosis® Orthosis, a system of a board and pads are used to chart the placement of corrective and derotational forces needed to adjust the scoliosis curve apices for best correction.
The Process
The patient lies on the board, with their spine (C7 to S1) over the center line and waist at row zero. Based on scoliosis curve type as defined by patient x-ray evaluation, stabilizing and corrective pads are positioned against the patient. The corrective pads are “dialed in” to produce controlled, direct, lateral and derotational force to move the apices of Scoliosis curves to the midline or beyond midline.
The Providence® Board
The patented Providence® Board is an acrylic board with holes numbered in columns and rows. The columns are alphabetical and the rows are numeric. The holes represent a precise grid pattern that allow both corrective and stabilizing pad placement against the patient. Pad placement is determined by scoliosis curve type. The grid matrix is also represented on the Providence Orthometry Form which the orthotist fills out to note the exact placement of pads, pad compression distance and patient measurements.
The acrylic board is portable with folding hinges and comes with two sets of pads for small (for small pediatric) and larger for adolescent patients.
Corrective & Stabilizing Pads
Corrective pads have a handle that turns to increase compression and push the curve apexes toward midline. Stabilizing pads hold the patient on midline while on the board. Each pad has pegs that fit into the lettered and numbered holes on board.
Overlapping 3-Point Pressure System

Corrective Pads push apexes toward midline
• Lumbar (L)
• Thoracic (TH)
Stabilizing Pads hold patient on midline
• Axilla (A)
• Trochanter (TR)
Corrective Pad Compression

Corrective Pad Compression
Corrective Pads have a handle that turns to apply pressure (Lumbar Pad Shown) - compression is measured by distance of threads extended from pad collar to pad base.
Recording Measurements
The practitioner documents each pad placement (Column & Row) and corrective pad measurements. Patient linear and A/P measurements are also recorded while patient is on the Providence® board.

Record Measurements
Linear Measurements
- Waist to Xyphoid
- Waist to Pubis
A/P - take with ML Gauge
- Xyphoid Level
- ASIS Level
The Providence® Orthometry Form

The practitioner completes the Providence® Orthometry Order Form, with all measurements and pad placement information. The Providence® order form allows practitioners to chart the exact position of each pad location and record patient measurements for brace fabrication.
Download
Education
Spinal Technology holds several courses for practitioners throughout the U.S. each year that address custom spinal bracing for both Full-time and Providence® Nocturnal Scoliosis Orthosis products.
The Providence® Course Online
Our Providence® course is recommended before ordering this orthosis. Practitioners will learn how to satisfactorily address the needs of scoliotic patients through the review of scoliosis principles and use of this innovative technology to maximize spinal correction, improve fit, and enhance orthoses comfort. Spinal Technology offers a Providence course for practitioners both online and at multiple association trade venues nationally and internationally. The American Board for Certification in Orthotics and Prosthetics has approved this course for continuing education credit for those that attend or complete our online training module.
Spinal Technology offers The Providence Nocturnal Scoliosis® Course online for those practitioners that can’t attend in person. This online course is a step-by-step presentation to the concepts and methodology for spinal correction using this innovative technology. Practitioners need to register to take the course. There is no charge to take the course. For more information, contact our Customer Service Team at 800 253 7868.
ABC Course Credit
For practitioners that would like to earn five (5) continuing education credits, approved by The American Board for Certification in Orthotics and Prosthetics, we offer an online course with exam questions included. There is a fee of $105 for the ABC credit online course. For more information, contact our Customer Service Team at 800 253 7868.
Free Providence Refresher Course
Questions concerning The Providence Nocturnal Scoliosis® System?
Contact our Customer Service Team at 800 253 7868. We'll be glad to help you with your question.














